Ecografia MSK
Ecografia musculoscheletală (MSK) permite aprecierea structurilor musculare, a tendoanelor, burselor, ligamentelor, cartilajului articular, spatiilor articulare și a membranei sinoviale. De asemenea pot fi investigați unii nervi pe traiectele lor superficiale (ex. nervul median în canalul carpian, nervul sciatic la coapsă, nervul ulnar la cot), ganglionii limfatici sau glandele salivare.
Ecografia musculoscheletală permite aprecierea structurilor musculare, a tendoanelor, burselor, ligamentelor, cartilajului articular, spatiilor articulare și a membranei sinoviale. De asemenea pot fi investigați unii nervi pe traiectele lor superficiale (ex. nervul median în canalul carpian, nervul sciatic la coapsă, nervul ulnar la cot), ganglionii limfatici sau glandele salivare.

Tenosinovita, intens activa (semnal Doppler intens)

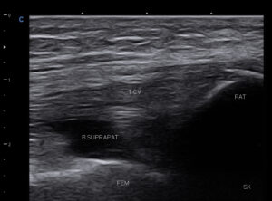
Colectie lichidiana suprapatelar (genunchi)

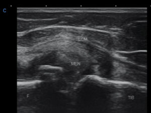
Modificari meniscale importante (genunchi)

Tenosinovita, cu colectie in teaca tendonului
Oferim pacientilor nostri servicii medicale la standarde inalte, atat prin resursa umana sub coordonarea Prof. dr. Florentin Vreju, cat si prin aparatura medicala performanta, acestea reprezentand garantia unui diagnostic rapid, cu un grad inalt de siguranta.

Congresul American de Reumatologie 2024

Prof. univ dr Vreju Florentin a participat la Congresul American de Reumatologie de la Washington, de unde a adus cele mai recente informații despre bolile autoimune. De asemenea, a fost implicat activ in proiecte internaționale de ecografie musculoscheletală în cadrul OMERACT și a reprezentat România la întâlnirile GRAPPA , un grup international de cercetare si evaluare a psoriazisului si artritei psoriazice.
